濠滨论坛

点击扫描二维码

查看: 41983|回复: 1

[健康知识] 做好这5点,和背上的痘痘轻松说再见

[复制链接]
  • TA的每日心情
    开心
    2014-6-7 16:31
  • 签到天数: 22 天

    [LV.4]偶尔看看III

    发表于 2020-8-3 13:35 | 显示全部楼层 |阅读模式
    • 1背上的痘痘可能是青春痘。青春痘是由于皮脂分泌过多以及毛囊开口异常角质化引起的毛囊口堵塞,继而发生感染和炎症反应。除了面部,胸背部也是皮脂分泌较多的部位,所以胸背部也可以长出青春痘。
    • 2背上的痘痘还可能是毛囊炎。不同于青春痘,毛囊炎最常见的原因是细菌感染,表现为毛囊处疼痛性的红肿丘疹或脓疱,往往是急性经过。真菌感染也可能引发毛囊炎,如糠秕孢子菌毛囊炎,通常没有明显的红肿疼痛,只表现为单一形态的毛囊丘疹或脓疱,感觉痒或者没有感觉。
    • 3青年人、背部出油多的人、口服激素或免疫抑制剂的人容易背上长痘,另外,处于潮湿闷热的环境也容易引起背部长痘。背部长痘要先找专业的皮肤科医生诊断皮疹原因,对症下药,其次是控制油脂分泌,控油要从饮食、作息、日常皮肤护理等多个维度全面调整才行。% N3 L  T- A3 F. X% q8 k' Q0 A
    查证者:钟华丨皮肤科医生
    夏季天气闷热潮湿,极易引发各类皮肤问题,尤其是烦人的痘痘。痘痘不仅会在我们的脸上作怪,有时还会跑到背上,导致姑娘们想穿露背的衣服时都得考虑再三,郁闷不已。背部为什么会长痘痘?又要如何治疗呢?
    一、背上的痘痘可能是皮脂分泌过多导致的青春痘
    青春痘的起因是皮脂分泌过多,以及毛囊开口异常角质化引起的毛囊口堵塞,继而发生感染和炎症反应。皮脂腺与毛囊总是相伴生长,皮脂腺分泌的皮脂要通过毛囊开口排出到我们皮肤和毛发的表面,是皮脂膜的主要成分。当毛囊开口的内壁堆积上一层角质,就好比水管内附着了一层水垢,内径会变小。大量分泌的皮脂就不能顺畅地排出,从而堆积在毛囊开口处与角质栓一起形成粉刺。之后毛囊内堆积的油脂越来越多,喜欢吃油的痤疮丙酸杆菌大量繁殖,引起感染和炎症,就表现为红肿痘痘,甚至囊肿结节。面部由于皮脂腺分布多从而成为最容易发生青春痘的部位。而胸背部也是皮脂分泌较多的部位,所以也可以长出青春痘。
    二、背上的痘痘还可能是毛囊炎,常见的有细菌性毛囊炎和真菌性毛囊炎
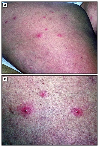
    另一种背部长痘的常见情况是毛囊炎。毛囊炎和青春痘不是一回事,毛囊炎最常见的原因是细菌感染,特别是金黄色葡萄球菌感染,表现为毛囊处疼痛性的红肿丘疹或脓疱,虽然可以反复发生,但往往是急性经过;而青春痘则可以有粉刺、丘疹、脓疱、结节、囊肿等多形性皮损,常常迁延多年。
    细菌性毛囊炎
    痤疮
    毛囊炎也有可能是真菌感染引起的。有一种“痘痘”常见于胸背部,通常没有明显的红肿疼痛,只表现为单一形态的毛囊丘疹或脓疱,感觉痒或者没有感觉,这是糠秕孢子菌毛囊炎。糠秕孢子菌是一种人体表面常驻的真菌,喜欢油脂丰富的环境,多数时候它与我们和平共处,甚至还会分泌一些肽类物质参与构筑皮肤的微生态屏障,对人体有益。但是当皮肤微环境发生变化的时候,比如油脂分泌增加时,糠秕孢子菌就可能在各种促发因素作用下变成致病真菌,引起毛囊炎、脂溢性皮炎、花斑癣、头皮屑等问题。
    糠秕孢子菌毛囊炎完全可以与青春痘、细菌性毛囊炎同时发生,但通常还是有个主次之分,哪种情况为主,也会直接影响我们的治疗方案。比如,在青春痘的基础上合并了大量糠秕孢子菌毛囊炎,那么就需要先进行抗真菌的治疗。如果单纯使用治疗青春痘的药物,治疗效果就不好。
    糠秕孢子菌毛囊炎
    三、背部长痘,要认清原因,再对症下药
    一般来说,青年人、背部出油多的人、口服激素或免疫抑制剂的人容易背上长痘,另外,处于潮湿闷热的环境也容易引起背部长痘。
    背部长痘怎么办呢?急则治标、缓则治本,认清皮疹原因,再对症下药。
    1、首先请专业的皮肤科医生帮你诊断,背上的痘痘到底是青春痘还是毛囊炎,是细菌性毛囊炎还是糠秕孢子菌毛囊炎,或者是其他什么问题。
    2、控油是关键。以上三种常见的背部“痘痘”都跟油脂分泌旺盛有关,所以防止复发的关键是减少油脂分泌。可是控油并非易事,需要从饮食、作息、日常皮肤护理等多个维度全面调整才行。
    第一,建议低脂肪低糖饮食,对,就跟健身餐一样,顺便减个肥!
    第二,需要规律作息不熬夜。我们皮脂腺的分泌也有昼夜节律,如果晚上该休息的时候还处于兴奋状态,皮脂腺就会持续分泌。总有人问几点钟睡觉才不算熬夜,其实,如果你习惯晚睡晚起也没太大关系,只要睡眠充足、白天精力充沛,并且不是三班倒、总挑战自己的生物钟就好。
    第三,油性皮肤并非要“强力去油”,过度的清洁会刺激皮脂腺合成,以对抗破坏、保护自己。另外,如果清洁力度超过了皮肤的代偿能力,则会破坏皮肤屏障,引起敏感和病理性问题。
    第四,放松心情。精神情绪对内分泌的影响远超出你的想象,焦虑、紧张会使我们身体处于应激状态,皮脂腺也会分泌增加。
    第五,使用药物治疗。有一些抗雄激素的药物比如螺内酯、短效避孕药,还有维甲酸类药物可以减少油脂分泌,但由于其潜在不良反应,必须在医生指导下使用。
    5 a9 Z; ~' ?1 `4 e7 S
    南通0
    头像被屏蔽

    该用户从未签到

    发表于 2020-8-5 09:53 | 显示全部楼层
    提示: 作者被禁止或删除 内容自动屏蔽
    回复 支持 反对

    使用道具 举报

    您需要登录后才可以回帖 登录 | 注册

    本版积分规则

    手机版|无图版|站务联系 | 商务合作 | 平台公约

    信息产业部备案:苏ICP备05014191号-1 经营性ICP许可证:苏B2-20110445 苏公网安备 32060202000307号 © 2001-2019 0513.org All Right Reserved.

    投诉争议 技术支持:第一互联 GMT+8, 2025-12-6 01:43 , Processed in 1.265478 second(s), 13 queries , MemCache On. 站点统计

    快速回复 返回顶部 返回列表