濠滨论坛

点击扫描二维码

查看: 9115|回复: 1

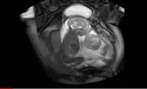
双胞胎竟在妈妈子宫内打架,医学影像记下了!

[复制链接]
  • TA的每日心情
    开心
    2014-6-7 16:31
  • 签到天数: 22 天

    [LV.4]偶尔看看III

    发表于 2017-8-25 11:22 | 显示全部楼层 |阅读模式 来自:江苏

    一开始小baby连续出招,大baby不为所动。


    接着,小baby加猛攻势,大baby开始有所回应。


    小baby不依不饶,继续战斗!大baby好像开始说话了,猜猜他在说什么呢?


    小baby的攻击再次被大baby挡回,不过依然玩得不亦乐乎,毫无停下来之意。

    我猜他们大概在说...


    南通0
    头像被屏蔽

    该用户从未签到

    发表于 2017-8-26 09:03 | 显示全部楼层 来自:江苏
    提示: 作者被禁止或删除 内容自动屏蔽
    回复 支持 反对

    使用道具 举报

    您需要登录后才可以回帖 登录 | 注册

    本版积分规则

    手机版|无图版|站务联系 | 商务合作 | 平台公约

    信息产业部备案:苏ICP备05014191号-1 经营性ICP许可证:苏B2-20110445 苏公网安备 32060202000307号 © 2001-2019 0513.org All Right Reserved.

    投诉争议 技术支持:第一互联 GMT+8, 2025-12-25 12:55 , Processed in 0.246295 second(s), 14 queries , MemCache On. 站点统计

    快速回复 返回顶部 返回列表