濠滨论坛

点击扫描二维码

查看: 5311|回复: 7

[科普] 肺原来也负担了造血的一个小功能

[复制链接]

该用户从未签到

发表于 2017-3-27 20:14 | 显示全部楼层 |阅读模式 来自:北京
本文作者:Michael Irving
2 I+ J3 E  Y" {1 T# z7 e, _+ g6 R                    (Amaranth/编译)人们曾经认为骨髓是唯一的造血器官,然而加州大学旧金山分校的研究者在小鼠身上发现,肺也和骨髓合作,在造血过程中参与了一项小而重要的任务:制造血小板,也就是用来止血的关键成分。; a* d9 f% F: H& T4 {
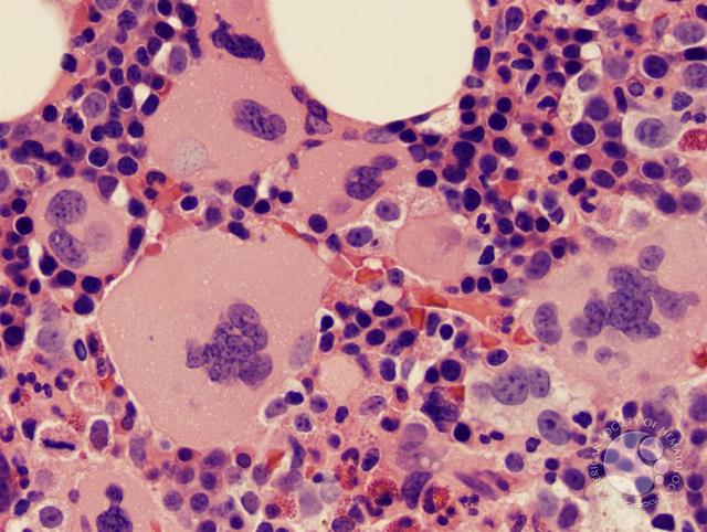
血液里有三种有形成分:携带氧气的红细胞,抵抗感染的白细胞,以及凝结止血的血小板。过去科学界认为,这些细胞都以骨髓为大本营。以前也在肺组织里发现过血小板的来源——巨核细胞,但是研究者都以为这是少数派,大部分巨核细胞还在骨髓里。% D& W; T" ]3 V; _) a+ `  g  R

肺原来也负担了造血的一个小功能

肺原来也负担了造血的一个小功能
巨核细胞 图片来源:keyword-suggestions.com+ Z2 c0 m  |6 i9 ^) s
然而加州大学旧金山分校的研究者利用成像技术观察活体小鼠的肺部,研究血小板在肺中循环时与免疫系统的相互作用,发现了肺的一个新功能。实验鼠经改造后,血小板会发出绿色荧光,而研究者意外地观察到,大量的巨核细胞聚集在小鼠的肺中,远超之前的预期。
9 x/ Y4 a5 [, M" i该项研究的共同第一作者艾玛·莱佛兰斯(Emma Lefran?ais)说:“当我们发现肺部存在大量的巨核细胞时,我们就意识到,我们必须得沿着这个方向进一步研究下去。”
( J; u% m- P" P! w% k8 T研究小组仔细检查后发现,小鼠肺中的巨核细胞每小时生成超过一千万个血小板,这个数量占了小鼠血小板总数量的一半以上。这些巨核细胞由存在于肺主血管系统外的巨核祖细胞和造血干细胞增殖、分化而成。研究组利用视频显微镜技术发现了这些细胞,每一个肺里大约有一百万个。
+ ~0 V" m$ y  p2 Q! H2 a

肺原来也负担了造血的一个小功能

肺原来也负担了造血的一个小功能
改造过的荧光小鼠帮助科学家发现了肺的血管系统生成了小鼠体内大部分的血小板。 图片来源:USCF) c9 [8 L; S# k! w' B% g
“这一发现说明肺的作用更为复杂——它不仅仅是呼吸器官,而且是形成血液的重要成分的关键器官,”该研究的资深作者马克·R·鲁尼(Mark R. Looney)博士表示,“我们在小鼠身上观察到的结果表示,肺很有可能也在人类的造血过程中起到关键作用。”/ _9 O+ C9 N" B( T
虽然肺看起来干了很多活,可是骨髓也没有懈怠。事实上,肺与骨髓似乎是合作造血的。为了研究造血干细胞如何在肺与骨髓之间来回移动,研究小组把普通小鼠的肺移植到了经改造的有绿色荧光巨核细胞的小鼠体内。不久后,发光的细胞出现在了“正常”肺的血管系统中。这表明,虽然肺中的巨核细胞数量更多,但是它们仍产生于骨髓内,之后再移动至肺中。1 g( w# S3 ?4 x- z, l. r
“巨核细胞从骨髓一路长途跋涉到肺部来生成血小板,真是有趣极了,”该项研究的共同第一作者瓜达鲁普·奥提兹-穆洛兹(Guadalupe Ortiz-Mu?oz )说,“可能是由于血液的机械力,又或者可能是因为某些我们尚未发现的分子信号,肺部成了生成血小板的理想的生物反应器。”0 M9 u/ q* i7 m* c
在另一项实验中,研究者把有荧光巨核祖细胞的小鼠的肺移植到了血小板计数较低的小鼠体内。他们注意到,小鼠体内很快便产生了大量发光的血小板,随后,血小板计数迅速回到健康水平,这说明,血小板计数太低促使了移植巨核细胞生成血小板,从而弥补缺少的数量。* z+ u" E/ b' d$ _5 A2 j3 L: h8 i5 C
在第三项也是最后一项移植实验中,研究小组想调查当骨髓中的巨核细胞无法正常运转时,肺中的巨核细胞会如何承担重负。为此,研究者将标有荧光细胞的肺移植入了骨髓缺乏造血干细胞的小鼠体内。那些来自移植肺的发光的细胞迅速地出现在骨髓中,不仅生成了血小板,还生成了其他重要的血细胞,如中性粒细胞、B细胞与T细胞。
+ a$ x  V1 v$ z“据我们所知,这是第一个指出造血祖细胞存在于肺中的研究,该项研究为数百万的血小板减少症患者提出了许多具有临床意义的问题,”鲁尼说,“越来越多的研究发现,造血干细胞并不总待在一处,而是随着血液流动在全身周游。也许在干细胞的教育中,到不同的器官里去‘留学’是件很正常的事。”4 F) i) T' M" [' d- {. P
这项研究发现提供了许多信息,有助于将来科学家研究血小板生成疾病的治疗方法;同时,该研究也让人更好地了解到,身体内的干细胞十分活跃,四处游走。在将来,研究者可以将这项发现应用于人体上,进一步研究肺部与骨髓是如何共同造血的。南通0
匿名
发表于 2017-3-27 20:16 | 显示全部楼层 来自:北京
提示: 作者被禁止或删除 内容自动屏蔽
回复 支持 反对

使用道具 举报

匿名
发表于 2017-3-27 20:16 | 显示全部楼层 来自:北京
提示: 作者被禁止或删除 内容自动屏蔽
回复 支持 反对

使用道具 举报

该用户从未签到

发表于 2017-3-27 20:19 | 显示全部楼层 来自:北京
自然演化的组织器官,不可能像人造机器一样,实行模块化分布式构造啊。。。。
回复 支持 反对

使用道具 举报

匿名
发表于 2017-3-27 20:23 | 显示全部楼层 来自:北京
提示: 作者被禁止或删除 内容自动屏蔽
回复 支持 反对

使用道具 举报

匿名
发表于 2017-3-27 20:24 | 显示全部楼层 来自:北京
提示: 作者被禁止或删除 内容自动屏蔽
回复 支持 反对

使用道具 举报

匿名
发表于 2017-3-27 20:27 | 显示全部楼层 来自:北京
提示: 作者被禁止或删除 内容自动屏蔽
回复 支持 反对

使用道具 举报

匿名
发表于 2017-3-27 20:33 | 显示全部楼层 来自:北京
提示: 作者被禁止或删除 内容自动屏蔽
回复 支持 反对

使用道具 举报

您需要登录后才可以回帖 登录 | 注册

本版积分规则

手机版|无图版|站务联系 | 商务合作 | 平台公约

信息产业部备案:苏ICP备05014191号-1 经营性ICP许可证:苏B2-20110445 苏公网安备 32060202000307号 © 2001-2019 0513.org All Right Reserved.

投诉争议 技术支持:第一互联 GMT+8, 2025-12-20 13:08 , Processed in 0.170163 second(s), 16 queries , MemCache On. 站点统计

快速回复 返回顶部 返回列表