濠滨论坛

点击扫描二维码

查看: 1877|回复: 0

放射科医生:骨折为什么做完X光检查又要做CT

[复制链接]

该用户从未签到

发表于 2015-11-1 22:56 | 显示全部楼层 |阅读模式 来自:北京
王伯伯在楼梯间摔倒,左腿骨折:“医生,我刚刚做完X光检查,为什么现在又要我来做CT啊?是不是刚刚那个拍片子的医生没有给我拍好啊?还是你们医院想要多收钞票啊?”

放射科医生:骨折为什么做完X光检查又要做CT

放射科医生:骨折为什么做完X光检查又要做CT
这两种常见的影像学检查到底有啥区别?既然拍了X光片,为啥又要做CT?属不属于重复检查?今天我们放射科技师徐嘉旭为您拨开迷雾,再也不用傻傻分不清!
为啥不直接做CT检查?
X光片和CT的原理是一样的,都是利用X射线的穿透作用,通过组织密度不同的人体后,形成辐射线衰减强度不同的影像。
那为什么不直接做CT检查呢?
CT较X光平片,它在价格上更昂贵、患者所接受到的辐射剂量会更大一些。
所以站在患者的角度上考虑,一般因为外伤来医院骨科就诊的患者,我们都会首选进行X光片的检查,一般情况下可以明确诊断。但如果在平片上发现可疑的病变影像,又不能确诊时,会再建议给予CT检查作为加强辅助。
CT能确诊X光片上所怀疑的病灶?
如果真的没有骨折,只是一些皮外伤,CT检查是可以帮助排除X光片上所怀疑的病灶的。
但是,如果真的是一种在X光片上所不能清晰发现的隐匿性骨折或撕脱骨折时,CT绝对是你的一根救命稻草!因为X光片的影像是一幅二维重叠的影像,相对比较片面。而CT的影像是由一系列断层的图像构成的,它相当于把组织结构一层一层的剖开来,清楚并逐一地显示更多的细节和结构,而且分辨率更胜X光片。然后还可以针对病灶做很多个性化的后期重建处理,从内到外、从各个方位来发现和观察病灶。
我们来打个比方吧,我们现在把X光片的影像看作是后面那个还未切开的吐司,在最上面一层隐约可以看见一些由内向外发散的小黑点,但不是很清晰。

放射科医生:骨折为什么做完X光检查又要做CT

放射科医生:骨折为什么做完X光检查又要做CT
我们再给吐司做一个“CT检查”,把它切开成一片一片的。做完检查之后发现,里面竟然别有洞天!刚刚不确定的小黑点原来是一颗一颗的葡萄干,而且当中还有若干的葡萄干。

放射科医生:骨折为什么做完X光检查又要做CT

放射科医生:骨折为什么做完X光检查又要做CT
细细回味一下,相信大家能体会两者在影像学表现上的区别了吧。
王伯伯的烦恼怎么解?

放射科医生:骨折为什么做完X光检查又要做CT

放射科医生:骨折为什么做完X光检查又要做CT
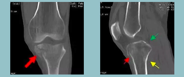
我们看到在第一张正位图像上,已然可以确诊王伯伯左侧腓骨上端撕脱骨折了。
在第二张侧位图像上,箭头指向处,我们可以看见胫骨外侧平台有异于正常结构的透亮线影(我们可以把它想作吐司上的小黑点)此处应高度怀疑骨折!为了不漏诊,我们再加做CT检查。

放射科医生:骨折为什么做完X光检查又要做CT

放射科医生:骨折为什么做完X光检查又要做CT
真是一做吓一跳!不仅对于平片上圆圈内已确诊的腓骨上端撕脱骨折,在CT影像中也能清晰看见,对于刚刚深深隐藏在平片中的“小病魔”——可疑透亮线影,被暴露无遗地展现在CT影像中。

放射科医生:骨折为什么做完X光检查又要做CT

放射科医生:骨折为什么做完X光检查又要做CT
通过二维重建图像,我们确诊患者为胫骨平台多发骨折(不同颜色箭头指向各个骨折部位)。看完CT报告之后,我们可以确诊:王伯伯左侧腓骨上端撕脱骨折、胫骨平台多发骨折。
所以,在考虑到经济、患者所接受的辐射剂量等多种因素影响之下,X光片一般会被作为放射科检查的首选,其作用是无法被撼动的,也不能被CT所取代。
只有当在X光片上有无法被确诊且又高度怀疑的病灶时,我们再加以利用CT所具有的优势,来帮助患友明确诊断,找出元凶,一起战胜疾病。南通0
您需要登录后才可以回帖 登录 | 注册

本版积分规则

手机版|无图版|站务联系 | 商务合作 | 平台公约

信息产业部备案:苏ICP备05014191号-1 经营性ICP许可证:苏B2-20110445 苏公网安备 32060202000307号 © 2001-2019 0513.org All Right Reserved.

投诉争议 技术支持:第一互联 GMT+8, 2025-12-18 09:24 , Processed in 0.151793 second(s), 15 queries , MemCache On. 站点统计

快速回复 返回顶部 返回列表