濠滨论坛

点击扫描二维码

查看: 16115|回复: 0

肺小结节是一种什么病

[复制链接]

该用户从未签到

发表于 2016-10-10 13:59 | 显示全部楼层 |阅读模式 来自:江苏
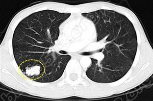
  说到肺部结节,很多人不知道是怎么回事?而肺部又怎么会长结节呢?南通市第六人民医院解释,近些年来,体检出患有肺部结节的人数越来越多,而多数人没有明显症状,这是不是意味着没有事呢?下面就来听听专家的分析。
6 f8 C+ L2 _* k& f, Z. ^
2Q==.jpg
  专家解析:肺部结节的病因2 p, _5 Z8 f6 y2 J" h) B; l2 Z
  1. 早期肺癌或者有身体其他器官的肿瘤转移到肺部。
8 D: o7 J9 L1 k( {6 u% d8 [  2.长期吸烟,烟龄超过20年,每天抽烟超过20支以上者,或有长期被动吸烟的人群。( \3 ?7 z2 [4 x3 s  [& }9 S
  3. 肺部的炎症(急性或慢性)或肺部的结核感染导致。: T8 W! F- \, p$ m
  4. 肺部曾经受过外伤造成肺部淤血。
# ~  \) m, r) K: H( U" c/ f. E  5. 以上的病变造成残留物未被机体吸收,时间长了形成瘢痕,就造成了结节。/ K; ]8 x' \6 N  X
  6.长期接触有害化学物质者(砷、铬、石棉、镍、镉、铍、二氧化硅和柴油烟气等)的人群易患肺部结节。8 ^, ^0 K: T  n/ Q9 }$ t/ A  \: M
  微创胸外科主任范岗指出:形成肺部结节的原因很复杂,并不是单一原因。虽然早期的肺部结节并没有太大症状表现,但数据显示肺部结节会恶化癌变。据调查,直径大于1厘米的肺内单发结节,恶性病变占到50%以上,直径大于2厘米的结节恶化率达到64%-82%,恶性概率随年龄增高而明显增高,因此对于体检发现的肺结节决不能忽视。
$ ]5 q1 J; R3 y  肺部结节会出现明显症状吗?7 i& i( Y) p" k' b3 W# I& k
  范岗解答:肺部结节患者早期常无明显症状和体征,有的患者会出现咳嗽、咳痰、咯血、胸痛等情况,如果有很明显的症状出现时,病情已经比较严重,可能是早期肺癌的征兆,必须及时治疗。早期肺癌治疗及时的话,就成的人可以长期存活,很少复发转移。! |6 v) h2 ]% w/ B6 g1 V# I
260317283768BEC6995624C93E1FA400.jpg
  单孔胸腔镜微创手术
3 C4 ^$ i% m1 b, }, m  为减少传统手术给肺部肿瘤患者带来的痛苦,我院多次安排人员前往上海权威医院进修学习胸腔镜微创技术,并引进了美国STRYKER公司数字化微创胸腔镜系统系列设备,在苏中、苏北地区率先开展了单孔微创胸腔镜手术。目前,已经成功为肺癌、气胸、炎性假瘤、结核球、纵隔神经鞘瘤、胸腺增生、胸腺瘤等患者成功实施了该项手术。* N' x8 t( @$ o
}_@)Q)T(3ULQTAX_C{C86HT.png
  与传统肺部手术相比,我院单孔微创胸腔镜手术具有如下优势:0 L3 F6 v% \4 m3 C2 r" ?
  切口最少——仅有一个3厘米左右的手术切口,比普通腔镜手术少2-3个切口( J- X& _$ {5 \3 `
  定位精准——采用最新三晶片放大成像技术,高清定位安全系数更高
8 s! O* t, J% j/ e: L  出院更快——术后当天即可下床,3天就可出院+ a1 Q# V# b+ ?) i4 I  r
  预后更佳——最大限度保留呼吸功能的完整性,并发症少,利于全面康复
* y' m2 V) T: t/ v, F4 [" L8 E. ?  S' ^. C2 J# O: B' |9 b4 `: s
  温馨提示:肺部结节,最忌掉以轻心,必须尽快检查确诊病情,及时治疗,以免病情恶化,错过最佳治疗时机。如果还有疑问可以点击在线咨询详情或者拨打免费电话0513-80886688在线交流沟通。1 \) {, O% B( ^# u- I0 I+ q. I
  ^: T0 |' d' \* D$ i
南通0
您需要登录后才可以回帖 登录 | 注册

本版积分规则

手机版|无图版|站务联系 | 商务合作 | 平台公约

信息产业部备案:苏ICP备05014191号-1 经营性ICP许可证:苏B2-20110445 苏公网安备 32060202000307号 © 2001-2019 0513.org All Right Reserved.

投诉争议 技术支持:第一互联 GMT+8, 2025-12-22 10:15 , Processed in 0.170507 second(s), 15 queries , MemCache On. 站点统计

快速回复 返回顶部 返回列表