濠滨论坛

点击扫描二维码

查看: 2048|回复: 10

[科普] 高考动图:生物篇

[复制链接]

该用户从未签到

发表于 2016-6-8 16:12 | 显示全部楼层 |阅读模式 来自:弗吉尼亚州
本文作者:fengfeixue0219" ^0 i7 A+ k% i
                    告别高中好多年,对高考的印象也变得越来越陌生了?没关系,看看这些动图,说不定你能找回当年复习生物考试的感觉。
/ b. L0 [+ E! g, ~例行警告:前方高流量消耗预警,没有连上Wi-Fi的手机党请紧急关闭页面!
- O2 G3 j: w! DDNA复制

高考动图:生物篇

高考动图:生物篇

. P" W* Z  k" a0 e原理:这是DNA复制过程的动画演示。你没看错,DNA复制过程,就是如此的繁复而精致,犹如精密机器的运作。
! @! E% |( U% d/ |2 {* ~DNA复制过程中,需要面对的最大问题,就是新DNA链的合成方向问题。DNA聚合酶,只能沿着磷酸核糖骨架5’端向3’端的方向来延伸新的DNA链,因此决定了两条DNA新链中,只有一条先导链能够连续的合成,而另一条后随链则只能不连续的合成。
4 [5 V% R% c& ?, d* S+ d因此,生物体演化出一套复杂的分子机器来解决这个问题。这个分子机器由多个蛋白构成。天蓝色的解旋酶负责解开DNA双链,先导链在DNA聚合酶(紫色)的作用下连续合成。而后随链则首先结合引物酶(草绿色)合成RNA引物,随后在复制因子C(RFC,蓝绿色)帮助下结合DNA后随链,将后随链传递给另一侧的DNA聚合酶,进行后随链的合成。后随链之所以绕出一个大大的圈,就是来保证两条新链能够几乎同等速度的合成。. z* g+ w0 g- c3 I
花絮:除了DNA复制外,细胞内大部分的生理活动,都是由诸多蛋白构成的大型复合体,以“分子机器”的形式来进行的。这样可以大大提高生化过程的进行效率。& P) s. C0 N; c* Z! F
答题时间:在转录过程中,DNA的双链发生了怎么样的变化呢?+ N: ]: Y, v1 s$ ~$ P* F4 y
录制者:WEHImovies) D! @, z1 g; A2 t7 V' T
向日葵“转头”

高考动图:生物篇

高考动图:生物篇

$ j: C% J7 E6 n1 g% O4 W- R2 T% G5 F& \原理:我们从小就听说,向日葵喜欢追着太阳,不过事实上,让向日葵“向阳”的其实是一种总喜欢躲着阳光的物质。对,它就是经常出现在生物课本上的生长素。阳光的照射会使得生长素向茎的背光侧运输,而较高浓度的生长素会刺激这一区域细胞的伸长,因此将向日葵的花推向太阳一侧。
$ [4 w% j# J/ [, T2 \& b不过,这种情况只会发生在向日葵的生长阶段和开花初期。在动图中,我们看到的也是向日葵幼小花盘“摇动找太阳”的延时摄影。而当向日葵花盘完全展开,茎不再伸长时,向日葵也就不再“向日”了。3 s2 x7 s) J4 F; H5 Q/ ?3 \
花絮:生长素是最早被发现和确定功能的植物激素。达尔文父子为生长素的发现奠定了坚实的基础。
/ ]1 k: Y) ?9 U  x2 q6 ~/ h" K答题时间:除了生长素以外,植物还存在哪些激素?还记得它们各自有什么作用吗?# y( Q2 B1 m  ?8 y
录制者:J&J Acres
  J' ]$ E( r- a* m: l有丝分裂

高考动图:生物篇

高考动图:生物篇

+ b9 L% V9 o+ ?' {/ s原理:体内正无时无刻的经历着这样的过程。这就是细胞的有丝分裂。这是人体,以及一切真核细胞最为普遍的分裂方式。
3 v. [+ F6 O( n8 R% A/ ~7 I  t3 d经过层层的包装压缩,弥散在细胞核内乱麻似的DNA长链,被凝聚为可以观察到的棒状的染色体。而当它们到达细胞中央时,被荧光染色点亮的微管构成的纺锤丝,将它均匀地分为两份,并拉向细胞两端,使得新形成的两个细胞,具有了一模一样的遗传信息。图中的细胞为猪肾上皮细胞(LLC-PK1 Line),用荧光蛋白分别标记了微管蛋白(绿色)和染色体中的组蛋白(红色)。
7 o% z6 K0 a& R' q和有丝分裂类似,减数分裂也需要纺锤丝和微管的参与。只不过在减数分裂中,DNA只复制了一次而分裂发生了两次,从而使最终的细胞内的遗传物质减半,这样就形成了有性生殖所需的配子。: Z+ e2 t1 j. U, B; M

高考动图:生物篇

高考动图:生物篇
大蚊幼虫精母细胞的减数第一次分裂。原视频来自:darchive.mblwhoilibrary.org% G# w7 p$ o, q% P: B) t
花絮:有丝分裂可能是生物学爱好者们最喜欢玩的一个梗了,在网上,你能找到用各种东西演示的奇怪“有丝分裂”,比如草莓:
3 X: j3 t. J! D0 D. V7 T, u0 _2 S

高考动图:生物篇

高考动图:生物篇
图片来自:mygrapefruit
3 |+ M& |% I& Q1 g- r甜甜圈:7 t7 v0 G, B% \8 }$ Y

高考动图:生物篇

高考动图:生物篇
图片来自:Kevin Van Aelst7 j5 F" _3 a; u& C0 {6 v
或者是,呃,星之卡比……
, G; m/ F" g4 X7 Y

高考动图:生物篇

高考动图:生物篇
我想这并不是合理的繁殖方式……图片来自:diskfire.deviantart.com
( O! z; y& T3 u6 q" x3 U5 ^(颜文字也可以呢:?????? →????????? →?????=????? →?????? ??????)1 ]. K  j2 Q' W+ P- S% ]; K
答题时间:请简述有丝分裂的各个时期名称,并画出不同时期内DNA和染色体数量的变化曲线。
! V! j6 T7 ~; W1 S% Z! n9 C录制者:microscopyu
) }" o- F7 C( b( J% }, R2 L2 K酵母出芽

高考动图:生物篇

高考动图:生物篇
8 U  n9 W* S0 G" R/ J% B& r! O* j
原理:吹个大泡泡!这其实就是酵母在繁殖。作为结构最为简单的真菌,同时也是最为人所熟知的单细胞真核生物,酵母一直以来是人们研究真核细胞生物学过程的重要对象。而它最为典型的繁殖方式,就是出芽生殖。2 s/ K$ j. d# I! d; v" a/ X
酵母的出芽生殖,可以看作一种特殊的细胞有丝分裂现象,在有丝分裂的后期,酵母细胞进行了细胞质不等的分裂,形成了一大一小两个相连的细胞,小的即是“芽”。芽会连接在母体上一段时间,进行一定的物质交换,待进一步长大后,芽即从母体脱落,形成一个新的独立的细胞。; A7 y* i0 e: R& s4 V8 M

高考动图:生物篇

高考动图:生物篇
酵母出芽的铜铸模型,看起来还挺可爱的……图片来自:D. Allan Drummond2 g+ I3 J( n" g4 U4 W" E
花絮:尽管出芽是酵母最为常见的繁殖方式,但作为真核细胞,酵母同样可以进行有性生殖。
$ g" M* p2 `9 N3 ?! @答题时间:酵母菌与大肠杆菌在结构和繁殖方式上有哪些相同点和不同点?
2 H* n9 [4 {5 j1 P2 p# z录制者:WICMB Cornell Univ.
$ E& R1 [, L* {( e2 B. `$ W“爆炸”细胞

高考动图:生物篇

高考动图:生物篇

' U8 a" i! L8 |. d& z原理:这是被放进纯水中的血细胞。水是生命之源,而纯水,则可以成为细胞的“杀手”。
4 q% `5 x, S) m( S* _* z7 p1 k细胞表面的细胞膜,是一个精密的半透膜,它允许中性小分子如水的进出,却能阻碍大分子和带电粒子,如蛋白质、金属离子等的自由移动。' h9 ]0 v' r( d7 k! H
因此在纯净的水中,细胞外更高浓度的水分子,会大量的涌入细胞,来达到细胞膜两侧水分子浓度的平衡。然而水的涌入,使得细胞逐渐膨胀,失去原有形态成为球状。而当水继续进入细胞时,薄薄的细胞膜承受不住这种膨胀,于是过饱的气球一样,啪的破裂了。; I. d7 l4 }+ f; `/ ^2 }+ y+ D
细胞们需要稳定的生存环境,在人体内,也有很多机制来维持水、电解质、pH值等因素的稳定状态,这就是生物课本上的“内环境稳态”知识点啦。
  Q5 }/ K* T' w% P

高考动图:生物篇

高考动图:生物篇
反过来,在高渗环境中,细胞就要失水了,还记得弥漫着洋葱味的质壁分离实验吗?
! {- y1 Q- i5 D: j1 c花絮:渗透压和很多人体现象都有关系。比如说,当肠道里有大量未被吸收的溶质时,渗透压的差异会导致渗透性腹泻(更多阅读:无糖小熊软糖吃多了会放屁腹泻?这是怎么回事?);在炎症反应发生时,血管通透性增加,一些蛋白质进入周围的组织,让组织中的胶体渗透压升高,这样一来,水也跟着涌入,就让组织肿了起来。
1 u2 V0 J) ?/ o7 d$ ]4 Z答题时间:为什么植物细胞泡在清水中不会涨破呢?
$ L  F; `2 [  T录制者:CellBiophysics
2 l# x/ [7 R2 ]! I2 z攀附藤蔓

高考动图:生物篇

高考动图:生物篇
  H3 r8 I+ ?! p5 Y! m: z
原理:藤蔓植物的卷须,是如何攀附到远离它的竹竿、篱笆上的?植物们自有探索的办法。
% z1 T& k  H4 B4 d图中展示的是旋花科植物的藤蔓。藤蔓植物的卷须在碰触到攀缘物之前,会伸展着卷须,随着茎的延伸,自发的进行“转圈”运动,来搜寻周围可能的攀缘物。而当卷须一旦碰触到攀缘物,那么这种接触所引发的信号,会促使生长素被运输至接触面的另一侧,使得卷须迅速卷曲,并最终攀附在攀缘物上。5 e4 e  E4 @% D5 |4 V, D
花絮:植物们通过生长素调节实现了攀附这样的“慢运动”,而依靠水分的压力,它们也能动得更加迅速。含羞草叶片的“含羞”,捕蝇草捕虫夹的关闭,都是依靠后者进行的。
: A( _4 C: U; F2 @

高考动图:生物篇

高考动图:生物篇
迅速闭合的捕蝇草。原视频来自:BBC# }- h, o3 |4 G; Z! L6 m
答题时间:植物的运动和动物的运动,有哪些不同点?
8 l& L9 @* q& z% m  u1 J; h?录制者:plloveyou) A6 }. o1 G( ~. e3 ~, S3 e6 z1 U
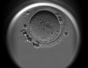
新生命的起点

高考动图:生物篇

高考动图:生物篇
2 m% m# K( _3 g. m2 D' P
原理:生命在母体中最初的样子是什么样?这里显示的就是人类胚胎最早的发育阶段。精子和卵子的接触和融合,使得受精卵中出现了两个细胞核——雄原核和雌原核,两个原核融合后,快速的激发了受精卵的分裂。最初的两次分裂,使得受精卵形成了四个大小几乎一致的细胞,而第三次分裂,则不等的产生了四大、四小八个细胞——这最早决定了胚胎的方向。随着分裂的继续进行,一颗受精卵分裂为了数百个细胞组成的空心细胞团,即囊胚。而囊胚的进一步发育,则开启了最早的组织分化。8 q. k6 O( o# J
花絮:在4细胞时期之前,如果人工将这几个细胞彼此分离,那么每一个细胞还将能发育为一个完整的个体。这也是细胞全能性的一个表现。: V2 j$ F: F( x8 V8 _
答题时间:结合动图简述同卵双胞胎和异卵双胞胎的异同。2 X. o( k1 Z) c5 l( D4 ~1 w0 f
录制者:CARE Fertility6 J! L/ C  e5 \# |2 O  z
钠钾泵

高考动图:生物篇

高考动图:生物篇
# s# h5 H+ h) L4 K
原理:很显然,这并不是什么正经科学图片……不过,这张用“Hotline Bling”MTV制作的魔性改图倒是相当有创意。# o* q" ?" h0 R  f8 f$ V
带电粒子不能自由通过细胞膜,那维系生命的钾钠离子如何跨膜运动?别急,我们有各种离子通道和离子泵。钠钾泵就是最为常见的一种离子泵。钠钾泵能够一次将三个钠离子运出细胞外,同时将两个钾离子运入细胞内,从而维持细胞内高钾低钠的状态。当然,这种运输过程并非无偿——ATP就是搬运粒子过程所必须支付的能量。这也是主动运输最为重要的特征。: \1 d  Q5 Z( N: ?+ a0 E: M1 g

高考动图:生物篇

高考动图:生物篇
还是来个正经点的示意图吧,图片来自:online.science.psu.edu* o5 e' G7 G7 F# w/ g
花絮:钠钾泵的存在,维持了细胞膜两侧钠钾离子浓度的差异,而这种浓度差,是细胞感受外界环境变化以及神经细胞传导神经冲动等重要过程能够发生的基础。
3 `% ]6 s! i# b; j答题时间:人体内还有哪些过程是主动运输?协助运输的过程又有哪些?
1 y# }2 @4 Y5 d0 `) x; e素材原始出处:Drake - Hotline Bling5 _9 \/ S) u% I. H6 D5 G
到这里,高考系列动图的正文部分就结束了,不知道大家有没有找回一些高考的<strike>痛苦</strike>美好回忆呢~在两天制的高考中,英语会为整场考试和高中生活画上终止符,为此,编辑还专门为大家准备了一个小小的番外篇——英语动图!(严重误)3 r1 W8 A4 n, q/ }
番外篇:英语动图(What?)

高考动图:生物篇

高考动图:生物篇

* P- ]" m4 q5 I3 ~- I: \3 m原理:这张动图生动地展示了同学们在挑灯夜战困到不行还读到看不太懂的英语阅读时出现的视觉飘忽现象……啊不不不,其实这是一个对读写障碍(Dyslexia)的模拟。在这个网页上,你可以看到它的完整版。网页作者根据一位朋友描述的亲身体验制作了这个网站,希望更多人能够理解读写障碍的感受。
+ V5 Y8 ^" Y, p- `% t- x; T读写障碍也被称为失读症,遭遇这种问题的人们通常会发现自己难以顺利地阅读文字,或者正确地拼写它们。读写障碍患者可能会感到文字模糊、跳跃,很难顺利辨认。他们对文字的加工和理解存在一些困难,不过在其他方面的认知能力并没有缺陷。更多了解读写障碍,请看:什么是读写困难(Dyslexia)?: O8 l8 O, A( |# l, E! F& M/ r

* r( U, Q# T1 l7 G. j$ E2 V' p文章题图:染色体,蚯蚓软糖版南通0
匿名
发表于 2016-6-8 16:12 | 显示全部楼层 来自:北京
提示: 作者被禁止或删除 内容自动屏蔽
回复 支持 反对

使用道具 举报

匿名
发表于 2016-6-8 16:12 | 显示全部楼层 来自:北京
提示: 作者被禁止或删除 内容自动屏蔽
回复 支持 反对

使用道具 举报

匿名
发表于 2016-6-8 16:12 | 显示全部楼层 来自:北京
提示: 作者被禁止或删除 内容自动屏蔽
回复 支持 反对

使用道具 举报

匿名
发表于 2016-6-8 16:13 | 显示全部楼层 来自:北京
提示: 作者被禁止或删除 内容自动屏蔽
回复 支持 反对

使用道具 举报

匿名
发表于 2016-6-8 16:16 | 显示全部楼层 来自:北京
提示: 作者被禁止或删除 内容自动屏蔽
回复 支持 反对

使用道具 举报

匿名
发表于 2016-6-8 16:22 | 显示全部楼层 来自:北京
提示: 作者被禁止或删除 内容自动屏蔽
回复 支持 反对

使用道具 举报

匿名
发表于 2016-6-8 16:32 | 显示全部楼层 来自:北京
提示: 作者被禁止或删除 内容自动屏蔽
回复 支持 反对

使用道具 举报

匿名
发表于 2016-6-8 16:32 | 显示全部楼层 来自:北京
提示: 作者被禁止或删除 内容自动屏蔽
回复 支持 反对

使用道具 举报

该用户从未签到

发表于 2016-6-8 16:34 | 显示全部楼层 来自:弗吉尼亚州
随便回答一点,正确性不作任何保证。高考后几千万年没有学过生物伤不起。。。/ j9 o' ^6 P: M+ D' \5 t
    // 默默翻开笔记状
    1 P) i# [$ r* a. P+ ~. I& `转录时会形成一个转录泡的结构
    % b8 ~+ c9 h5 f7 I# Q9 |2 R# G+ u; o" C
    原核生物:
    6 R" n* ^% p9 @. T2 P转录起始 initiation:& o5 u9 l+ k6 V3 M
    全酶与模板结合,形成不稳定复合物  i  v% b) K. }/ u( u
    全酶与启动子结合,形成封闭二元复合物
    1 ]" K& u) s/ L0 C$ {  ^( H形成开放二元复合物
    % Y% R! r6 p' H! R' L形成三元复合体,释放 sigma 因子0 X2 }* `& D% `4 R
    2-9nt 时会有 abortive initiation 现象8 m; Y/ L! w: z6 ?
    转录 ≥10nt 后形成转录延伸三元复合体
    9 I# w0 X. o% ~+ P' X& b6 L# Q9 ]0 O  M. b. P3 u
    延伸 elongation:
    5 i0 \- F9 U) j( h+ e会有爬行的结构,即 RNA Pol 会从 35bp 连续收缩到 28bp, 然后其前端突然伸展 8bp, 恢复 35bp 长度. H9 @0 [0 d( A/ y' E0 u
    9 n8 K, e0 v+ N2 R1 Y2 L
    终止 termination:
    8 L: f* s0 L1 F" Z' a, q原核生物在转录终止处会有叫做终止子 terminator 的特殊结构,包括两种类型—强终止子或内在终止子 (intrinsic) 和弱或 rho 依赖性终止子 (rho-dependent).赤霉素—貌似是和细胞伸长有关可以让植物长得更高的那种,脱落酸—与叶子脱落有关忘了,乙烯—与果实成熟有关,还有一种忘了间期—G1, S, G2, 分裂期 M—前期,中期,后期,末期
    0 v: R* e  q8 e8 {$ R0 S* T; Z二倍体 DNA 分子数: G1-S-G2: 2n, 2n-4n, 4n; M—前-中-后-末: 4n, 4n, 4n, 2n each+ V& @. [; Q# Q* f7 x2 ?. _
    染色体数 (aligned as above): 2n, 2n, 2n; 2n, 2n, 4n, 2n each/ o; G3 s9 j9 ?# I
    染色单体数 (aligned as above): 0, 0-4n, 4n; 4n, 4n, 0, 0酵母菌是真核生物,可以通过有丝分裂,出芽或者接合等方式生殖。大肠杆菌是原核生物,可以通过二分裂生殖。因为植物有细胞壁。。。动物有神经系统和肌肉,植物神马也木有。同卵双胞胎的两个胚胎来自同一个受精卵 DNA 序列极为接近,但是在卵裂过程中不晓得怎么回事变成两个胚胎。异卵双胞胎的两个胚胎来自同一次排卵的不同卵子/卵细胞形成的不同受精卵,而且他们的父亲可以互不相同。貌似小肠上皮细胞吸收葡萄糖是主动运输,红细胞吸收葡萄糖是协助扩散,忘了
    9 g* B+ ^0 z5 T+ l
回复 支持 反对

使用道具 举报

匿名
发表于 2016-6-8 16:39 | 显示全部楼层 来自:浙江
提示: 作者被禁止或删除 内容自动屏蔽
回复 支持 反对

使用道具 举报

您需要登录后才可以回帖 登录 | 注册

本版积分规则

手机版|无图版|站务联系 | 商务合作 | 平台公约

信息产业部备案:苏ICP备05014191号-1 经营性ICP许可证:苏B2-20110445 苏公网安备 32060202000307号 © 2001-2019 0513.org All Right Reserved.

投诉争议 技术支持:第一互联 GMT+8, 2025-12-20 21:35 , Processed in 0.236557 second(s), 15 queries , MemCache On. 站点统计

快速回复 返回顶部 返回列表