濠滨论坛

点击扫描二维码

查看: 3539|回复: 6

[科普] 做个手术真的能把肾做丢吗?

[复制链接]

该用户从未签到

发表于 2016-5-10 17:12 | 显示全部楼层 |阅读模式 来自:华盛顿州
本文作者:马宏
, R( z9 C  h- T                    5月初,一篇名为“安徽男子术后右肾失踪”的新闻在网上疯传,引发了公众的讨论,甚至恐慌:做个手术,肾都能做丢了?此事一出,医生与患者这两个群体之间的分离与对立之状似乎又达到了一个新的高度。我作为一名泌尿外科医生,希望站在专业的角度上,给各位讲一讲,这肾,到底会不会丢?6 k3 c5 X) x9 t# D' i) P
“肾丢了”事件的时间线' w# K1 e. a/ A2 \  b- }: Q
2015年6月12日,安徽男子刘永伟遭遇重大车祸,同日入住当地医院接受治疗;6月19日转入徐州医学院附属医院;6月20日患者接受手术治疗,因右肾与肝脏外伤中被挤入胸腔,术中进行了右肾及肝脏重新置入腹腔的操作(手术记录);8月18日已出院的患者于山东省立医院进行CT检查,CT报告称“右肾未显示”;9月15日患者再次来到南京军区总医院接受超声检查,同样得到“右肾缺如(缺失的医学术语)”的结论;2016年1月患者返回徐州医学院附属医院再次复查CT,其主治医生确认右肾缺失的结论。之后中间大概有多次医患沟通环节,具体不详。
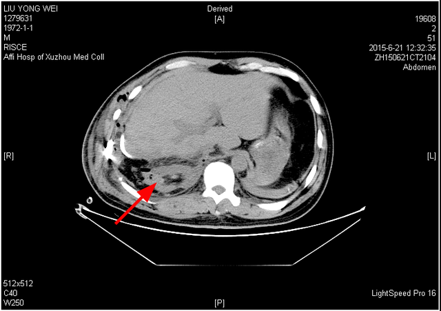
8 I. `! C/ X" Z( I- ~5月5日晨,安徽网曝出题为“宿州男子在徐州做胸腔手术出院第二天右肾失踪”的新闻。当日徐州医学院附属医院即作出回应,并发布患者术后第一日和第五日复查CT的图片,影像中右肾确在腹部相应位置。, u$ Q# i$ U4 C% O% r/ M  P

做个手术真的能把肾做丢吗?

做个手术真的能把肾做丢吗?
4 S) O0 ~4 F+ `& M$ i1 V
术后第五日患者的右肾。图:新浪% g! ^, f( p/ O' E
这不是第一次关于手术术后发现器官丢失的报道,这些说法真的可信吗?从一个专业人员的角度来看,器官于术中丢失是不可能的。现实的情况是人体解剖远没有大家想的那样有想象力、医生外科技术能力太有限、医院安全核查程序也太刻板。大可不必因为类似的消息产生恐慌,这一枚肾脏取不下来,取下来出不了手术室、出了手术室也做不成供体器官。4 Q" m* G' Q' {0 b9 }0 d# g: n
胸部的切口能取肾脏吗?0 s5 P, w- r5 Q# c
我们最先要了解的是,在这个事件中,医生真的能把肾脏“拿下来”吗?答案是:即使能,也不能用。在肾移植手术中,摘取供肾的切口位置有一定选择范围,最高在11肋(胸廓处,见图1)下切口。而从新闻中图片及患者诊断“右侧外伤性膈疝,右侧多发肋骨骨折,胸腰椎棘突横突多发骨折”可以判断,患者应该采用的是右胸中段肋骨的切口(见图2),已经无法取到完整可用的肾脏了。" f9 q+ f  H- J, T- S) C9 Z$ Z0 Z
肾脏左右侧各一枚,形似蚕豆,位于腹腔内靠背侧的脊柱两旁。胸腔与腹腔在人体相当于楼上、楼下的两套公寓,中间的“楼板”被称为膈肌。
5 w1 P+ q/ W$ \( f1 ~

做个手术真的能把肾做丢吗?

做个手术真的能把肾做丢吗?
0 R* }6 x# A: i* I
图1:胸腔,腹腔与膈肌,图片来自格氏解剖学第三版,Grey's Anatomy 3rd Ed. e' ?# g9 ^( i1 G% a

做个手术真的能把肾做丢吗?

做个手术真的能把肾做丢吗?
" E! R) t" P" P. ~* V# k
图2 肾脏位置,图片来自格氏解剖学第三版,Grey's Anatomy 3rd Ed, F3 M" r' z3 {/ ~/ h3 z
双侧肾脏靠一把“电线”系在腹腔中央的两根大血管(腹主动脉与下腔静脉)上,这一束“电线”里包括出、入肾脏的肾静脉和肾动脉,以及淋巴管、神经和排出尿液的肾盂,都是保证肾脏正常生长并保持正常生理功能的重要结构,这一束电线称为肾蒂。正常解剖情况下,右肾蒂要比左肾蒂短。双侧的肾脏都位于腹腔里比较靠后背的一侧,前面覆盖着腹膜,左肾前面挡着胃、胰腺和部分小肠,右肾前面挡着肝脏、部分结肠和十二指肠。2 C! N; B" \1 q- K1 D
完整可用的供体肾脏除了完整的肾脏本身,与其相连的肾蒂也要完整取下,而且还要保证一定长度,才能保证后期移植手术的吻合需求。位置过高的切口,手术医生根本不可能取下足够长度的肾血管。因此,如果从安徽这位患者进行供肾切除,至少要打开膈肌,掀开肝右叶才能完成,而且右肾肾蒂本来就短,就算患者右肾因为外伤上移,保证取下足够的供肾血管长度也基本是不可能的。
/ ]6 W9 U" b. s8 q% l) W1 Y
" I: y  \7 h& K* F* O& a

做个手术真的能把肾做丢吗?

做个手术真的能把肾做丢吗?
/ z$ L0 s5 ~  O( H( z$ y
新闻事件中患者的胸部切口。图片来自安徽网4 Y+ k9 l/ T7 X  J7 [
病人的器官有可能被偷走吗?
) K1 ~. Z5 Z5 L; d8 p  n- l医院不是龙门客栈,不要说医院,即便是稍微正规点的仓库,入库出库都还有个记录。手术室是个开台几块纱布、几把器械甚至几枚针,下台都要严格核对的地方。离体组织的去向在手术核对单上必须有明确清晰的记录。一台手术,一到两名麻醉医生,一名器械护士,一名巡回护士,两到四名手术医生,手术间及楼道里无数的摄像头。如果一枚器官被取出体外而没有记录,甚至有人想偷偷将一枚器官带出手术室(有严格的转运温度和容器要求),除非集体作案里应外合,否则是绝无可能的。2 @5 k. C# W; o! `
就算能拿走,也不能用:肾移植不是简单的这边切下、那边装上这么的简单。肾移植通俗的说法又叫换肾,是将健康者的肾脏移植给有肾脏病变并丧失肾脏功能的患者。与公民身后器官捐献不同,如果是移植健康人的肾脏,属于活体肾移植,对供者(即捐献者)的要求非常严格,需要进行一系列审查。5 j7 {1 z/ A. o9 a5 t2 I* X
流程一:肾移植配型也称作组织配型,包括供体和受体是否血型相融、人类白细胞抗原 (HLA) 抗体检测、淋巴细胞毒交叉配合实验,淋巴细胞毒交叉配合试验等,为了避免或减轻移植后的排异反应。如果配型方面没有问题,接下来会对供体的肾脏评估。
+ n! }' d3 c& q& ^5 m7 L流程二:肾脏评估包含对总的肾功能和左右两侧分开肾功能评估。除去常规的抽血化验评估外,还需要进行放射性核素检查进一步评估肾的生理功能;另外会对肾脏的外形、血管等状况进行评估,确保移植后的使用情况。如果供体肾脏受到外伤,肾脏血管有损伤,很明显是不适合捐献出来的肾脏。也就是说,如果这种肾脏被摘掉,也没有实际的使用价值。
1 u/ A# x4 y, D2 O3 C6 Z1 Q* |2 {! X流程三:供体评估是指在活体肾移植的临床操作中,对供体年龄,体重、疾病等一般情况的评估,严格筛选是否符合供体条件。也就是说,对供体本身有一定要求,不是谁都可以。/ ~' w+ x! I  R' |( Q
手术后肾萎缩了,医生的处理有问题么?. G- Q% r/ F0 X  w( a1 e
现在大家大概能够理解,医生并没有切除患者肾脏的“动机”。结合徐州医学院附属医院提供的CT证据和手术记录,我们知道了,右肾一直在患者体内。最初的手术当中,医生将受外伤移位的右肾送回至腹腔,并缝合上胸腔和腹腔之间的破口。只不过,在术后的两个月中,患者的右肾慢慢萎缩了,以至于此后几番影像检查中看不到右肾的影像。9 d* j4 `3 J7 x0 u! l6 V5 g
肾脏损伤按严重程度从轻到重分为一级到五级,达到四级肾血管破裂是个是否需要切除肾脏的分界点,四级以下的肾损伤可以进行保守观察或手术修复。根据回顾多方描述,患者当时的损伤程度是比较轻的,肾血管也没有破裂, 徐州医学院附属医院的泌尿外科会诊后建议仅作还纳肾脏,是符合治疗原则的。
+ S0 V# U4 ?% B: g# ]肾脏为何会萎缩?
" U+ O: |7 [" \! U/ g- R一般来说,引起肾萎缩原因有几点:先天性肾发育不全;终末期肾脏疾病,即肾衰竭、尿毒症或某些急性病症,如:急性肾小球性疾病、糖尿病性肾硬变、肾移植排异、慢性肾小球肾炎、肾皮质坏死、Alport综合征、急性肾小管坏死、高血压性肾硬化;此外还有一些肾血管病变,肾结核等原因均可以引起肾萎缩。
8 j7 k  _" n& L# Y9 ?1 T7 K新闻中患者肾脏在外伤中挤入胸腔,血管被明显牵拉,即使血管尚未断裂,但过度牵拉仍可导致血管内皮损伤。血管内皮损伤可继发血栓形成造成肾缺血,这可能是引起患者肾梗死后肾脏萎缩的最可能的原因。此外,外伤后肾周炎症、充血压迫等一系列因素,都是导致肾萎缩的可能病因。3 c$ ]1 S+ F) R1 X+ W

做个手术真的能把肾做丢吗?

做个手术真的能把肾做丢吗?
5 Z8 ~% Z6 n7 Y) r: Y* h$ w
双肾及肾血管,图片来自格氏解剖学第三版,Grey's Anatomy 3rd Ed6 y: z( |0 G4 J, |$ }7 j2 \
我相信在“肾去哪了”的问题上,文章已经解释的很清楚了。但同时,这位劫后余生的患者,伤后一年都在追查“肾去哪儿”的问题上奔波与挣扎,也让人十分心疼。如果在医患沟通中,医生能多做一些必要的解释,包括在最初术后向患者交待肾损伤后可能的并发症,在其他医院就诊过程中看诊医生能多了解一些病史并做出合理的分析和建议,这位患者也许能缩短那在恐惧与震惊中度过的艰难时光。
9 }/ o5 W& W+ b. ~6 O. Z% }& c希望我们能通过医患双方共同的努力,让这样的事情不再发生。南通0
匿名
发表于 2016-5-10 17:18 | 显示全部楼层 来自:北京
提示: 作者被禁止或删除 内容自动屏蔽
回复 支持 反对

使用道具 举报

匿名
发表于 2016-5-10 17:18 | 显示全部楼层 来自:北京
提示: 作者被禁止或删除 内容自动屏蔽
回复 支持 反对

使用道具 举报

匿名
发表于 2016-5-10 17:22 | 显示全部楼层 来自:北京
提示: 作者被禁止或删除 内容自动屏蔽
回复 支持 反对

使用道具 举报

匿名
发表于 2016-5-10 17:29 | 显示全部楼层 来自:上海
提示: 作者被禁止或删除 内容自动屏蔽
回复 支持 反对

使用道具 举报

匿名
发表于 2016-5-10 17:30 | 显示全部楼层 来自:上海
提示: 作者被禁止或删除 内容自动屏蔽
回复 支持 反对

使用道具 举报

匿名
发表于 2016-5-10 17:33 | 显示全部楼层 来自:华盛顿州
提示: 作者被禁止或删除 内容自动屏蔽
回复 支持 反对

使用道具 举报

您需要登录后才可以回帖 登录 | 注册

本版积分规则

手机版|无图版|站务联系 | 商务合作 | 平台公约

信息产业部备案:苏ICP备05014191号-1 经营性ICP许可证:苏B2-20110445 苏公网安备 32060202000307号 © 2001-2019 0513.org All Right Reserved.

投诉争议 技术支持:第一互联 GMT+8, 2025-12-20 13:16 , Processed in 0.214445 second(s), 13 queries , MemCache On. 站点统计

快速回复 返回顶部 返回列表