濠滨论坛

点击扫描二维码

查看: 24660|回复: 1

[育儿心经] 儿子长了“双排牙”,都因为“爱他”惹的祸

[复制链接]
  • TA的每日心情
    开心
    2014-6-7 16:31
  • 签到天数: 22 天

    [LV.4]偶尔看看III

    发表于 2021-3-15 13:45 | 显示全部楼层 |阅读模式
    最近看到好几个群里的妈妈在探讨孩子的牙齿问题,其中一个妈妈发了一张照片,询问大家:孩子的恒牙貌似有一点点冒出的迹象,但是恒牙还没掉,这情况咋办!
    这情况跟OK之前碰到的一模一样,刚好我带OK去看过医生,了解得比较透彻(其实在朋友圈分享过经验
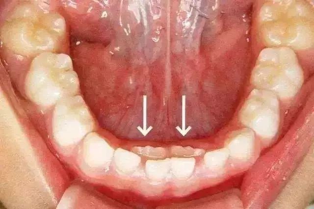
    因为从小吃够了牙齿的苦,所以就像公号里很早和大家分享牙齿科普知识一样,我对OK口腔健康一直是比较重视的。一方面因为刷牙开始得很早、刷的时候也保质保量,一方面他可能遗传了爷爷良好的牙齿基因,所以乳牙虽然也有黑色素沉淀,但没有任何蛀牙。可就是没想到,OK换牙时出现了双排牙(当时没拍)。我在网上找了下面这张图,就是类似这种情况,乳牙还在原位,但是下面恒牙已经冒出头来了,看起来还挺滑稽。
    当时请教了牙医好朋友,我是等着乳牙脱落呢,还是带OK去医院看看。好朋友给出的建议是,你看看他的乳牙松动了没,如果松动了,自己可以掉下来,那就可以再观察等等看,那几天可以给点苹果玉米啃啃,看看乳牙能否掉下来。如果乳牙虽然松了,但自己依然不掉,恒牙又冒出更多,那还是要去看医生、拔乳牙,给恒牙挪位置的,要不然恒牙一直没有机会在正确的位置上成长,之后的牙齿很难长得整齐!
    等了几天,OK的乳牙算是比之前晃动得多了,但依旧没有掉。我没再犹豫,直接就带OK去拔牙了。“你们是不是平时给娃吃东西太精细了?”医生见爷爷陪着一起来,特别有意思地说,“今天爷爷也在哦,刚好可以认真说一下,老人家哦总是心疼孩子,做饭菜弄得特别细软、切水果都特别小块,但其实这会妨碍孩子牙齿的生长、也包括现在你们遇到的换牙问题!”
    “哦,还有这等事?”爷爷也是有点意外,“那看来回去还得跟他奶奶说说!”“对,现在这种双排牙的问题特别多,基本上我们碰到的10个小朋友至少5个有这种情况存在,主要就是吃得太精细。妈妈也要记住,就比如苹果给孩子吃,就是洗干净了削个皮,让娃捏着整个一个,大口大口啃,牙齿才有机会锻炼!”
    正常情况下,恒牙是长在乳牙下面的。恒牙在萌生过程中,直接压迫乳牙根,使乳牙根渐渐吸收,变得越来越短,直至完全消失。于是乳牙便开始脱落,恒牙逐渐长出。
    △换牙过程
    平时孩子咬东西啊、咀嚼啊,其实对牙齿来说都是天然的锻炼和刺激。牙齿就跟肌肉一样用进废退,尤其是小朋友在生长发育阶段,更需要多锻炼。而且还有更重要的一点是,我们可能会觉得娃的乳牙整整齐齐、贴合得紧密才是好看的。但这是误区,事实上慢慢要到换牙的时候,如果想要以后的恒牙长出来是整整齐齐的,那么乳牙和乳牙之间是应该有缝隙的,因为恒牙一般比乳牙要大三分之一,如果没有缝隙,那么恒牙就不够位置生长,那它就只能侧过来长、东倒西歪或者前后错开。想要娃乳牙和乳牙之间的缝隙够,就是让他有充分的咀嚼,比如有机会也让娃啃啃牛肉干、豆子等。牙齿也真是个神奇的东西,之前的恒牙长在了乳牙后面一排,但乳牙拔了以后,恒牙就会自动归位,慢慢回归到乳牙掉落的那个位置▽医生说,我们时常和大家说一定要定期带娃看牙,但真正能做到的少之又少。大家最常见的想法就是,我孩子牙齿好好的,没事带他去医院干嘛,医生这么说嘛无非就是多赚点钱。“但事实上,比如你们家儿子这种情况,如果定期来看,比如半年前来检查,确实牙齿本身都不错,但看到缝隙不足,我们就会跟告诉你,要加强咀嚼了,要不然以后恒牙生长位置会不够,就能避免现在双排牙的问题了!”我有点不好意思,也常常跟大家说要带娃定期看,但自己也会做不到,偷偷懒医生继续说,当然了,你儿子这种情况也不算是什么致命大问题,但是很多孩子其实牙齿是有很大的健康问题的,蛀牙都很厉害了,但大人如果不带娃看医生就是不知道的,因为孩子有些牙齿蛀了都不觉得疼。有个数据就很说明问题,第四次全国口腔健康流行显示全国5岁儿童乳牙患龋率为70.9%,但就诊率只有约1/5。要知道,乳牙下面就是正在发育的恒牙胚,如果乳牙蛀了,不及时治疗。随着龋洞增加,会发生牙髓炎等严重的情况。而随着炎症逐渐蔓延到根尖,会直接影响到正在发育的恒牙。而乳牙如果因为龋齿过早拔掉,那么位置空了之后,旁边的乳牙就会向自动往中间移位,这样恒牙萌出的位置就会完全不够,它就容易歪着长。
    所以咱们还是多响应医生的号召,定期去找医生给娃看看哟~

    : A' P; Y& g9 S' q南通0
    头像被屏蔽

    该用户从未签到

    发表于 2021-3-17 13:10 | 显示全部楼层
    提示: 作者被禁止或删除 内容自动屏蔽
    回复 支持 反对

    使用道具 举报

    您需要登录后才可以回帖 登录 | 注册

    本版积分规则

    手机版|无图版|站务联系 | 商务合作 | 平台公约

    信息产业部备案:苏ICP备05014191号-1 经营性ICP许可证:苏B2-20110445 苏公网安备 32060202000307号 © 2001-2019 0513.org All Right Reserved.

    投诉争议 技术支持:第一互联 GMT+8, 2025-12-5 18:48 , Processed in 0.274800 second(s), 13 queries , MemCache On. 站点统计

    快速回复 返回顶部 返回列表